Deprecated: WP_Dependencies->add_data() أستدعيت بواسطة مُعطى مهجور منذ النسخة 6.9.0! IE conditional comments are ignored by all supported browsers. in /home/loaiahos/altabeb.com/wp-includes/functions.php on line 6131

رضوض الأضلاع ( كسور الأضلاع ) : أسباب , أعراض , تشخيص وعلاج

رضوض الأضلاع و كسور الاضلاع بالإنجليزية rib fracture هو حدوث شرخ في أحد أضلاع القفص الصدري بسبب التعرض للرضوض أو بعد ضربة على القفص الصدري .

 أكثر الأضلاع تعرضا للكسر هي الأضلاع من الثالث (أو الرابع بشكل أشيع إلى التاسع ) . 

إن وجود عدة كسور في الأضلاع یعنی تعرض المريض لرض قوي وضرورة البحث عن إصابات مرافقة.

الأضلاع الطبيعية ( القفص الصدري )
الأضلاع الطبيعية ( القفص الصدري )

[toc]


كسور الضلعين الأول والثاني 

إن هذين الضلعين محميان بشكل جيد بوساطة الترقوة والعضلات والأربطة المجاورة، وبالتالي فإن إصابة الضلع الأول والثاني تدل على شدة الأذية ولذا يجب أيضا البحث عن إصابات مرافقة (الضفيرة العضدية والأوعية تحت الترقوية). 

أكثر ما يترافق كسر الضلع الأول مع أذية الشريان تحت الترقوة، ولذا يجب جس النبض المحيطي في جهة الإصابة بمجرد الشك بوجود كسر في الضلع الأول. 

كسور الأضلاع السفلية 

تترافق غالبا مع إصابات رضية في الأحشاء البطنية المجاورة: الكبد من اليمين الطحال من اليسار. 

كسور الأضلاع : شكل ترسيمي يظهر كسر في الضلعين الثاني والثالث
كسور الأضلاع : شكل ترسيمي يظهر كسر في الضلعين الثاني والثالث

كسور الأضلاع السائبة:

تحدث بشكل أقل بسبب قدرتها على التحرك. 


أعراض رضوض الأضلاع

  • ألم يزداد مع الحركات التنفسية. 
  • مضض متعلق بالضلع ومكان الكسر أو بالضغط على القص.
  • أعراض موضعية نتيجة الرض المباشر، وقد تغيب هذه الأعراض. 
    شكل ترسيمي يظهر كسر في أضلاع القفص الصدري بسبب التعرض للرضوض أو بعد ضربة على القفص الصدري .
    شكل ترسيمي يظهر كسر في أضلاع القفص الصدري بسبب التعرض للرضوض أو بعد ضربة على القفص الصدري .

    زلة تنفسية: وتحدث نتيجة استرواح الجنب أو تدمي الجنب أو كليهما، وتتناسب شدة الزلة مع: 

  •  وجود أمراض تنفسية سابقة لدى المريض: مثل COPD – نفاخ – ربو، حيث تظهر الزلة في هذه الحالة بشكل أسرع. 
  • تألم المريض وعدم قدرته على إخراج المفرزات يؤدي إلى تراكم المفرزات في القصبات مما يؤدي إلى زيادة شدة الزلة. 
  • مقدار الانخماص الرئوي الناتج عن الانصباب الهوائي أو تدمي الجنب.

 تشخيص كسور الأضلاع

 الأعراض السريرية سابقة الذكر 

صورة الصدر البسيطة CXR، قد نشاهد فيها: 

  • كسور في الأضلاع

قد لا تظهر الصورة الشعاعية أي كسر حتى 2-3 أسابيع بعد الرض، لذا فإن سلبية الصورة البسيطة لا ينفي وجود الكسر، لذا فاعتمادنا الأساسي في تشخيص الكسر على الموجودات السريرية حتى يثبت العكس. 

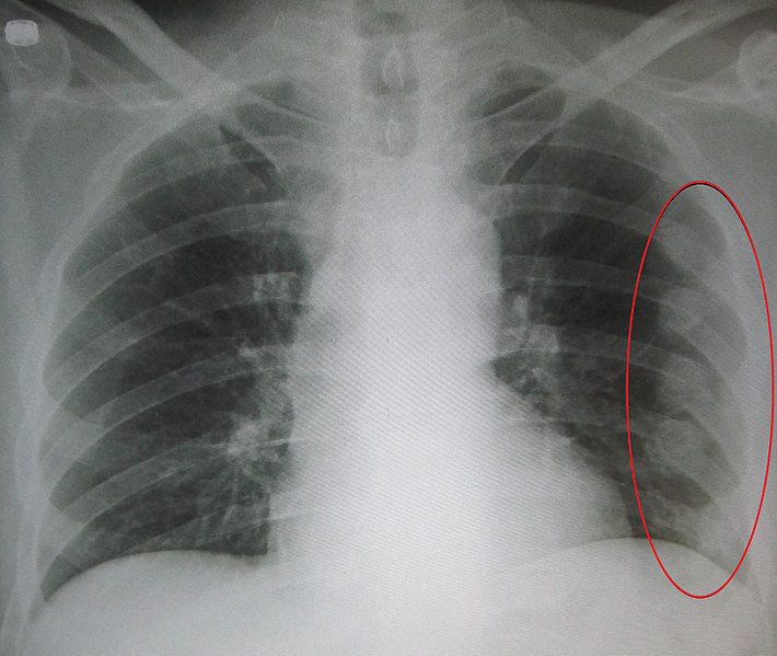
رضوض الأضلاع : صورة أشعة بسيطة تظهر وجود كسر في الأضلاع على الجهة اليسرى من القفص الصدري
رضوض الأضلاع : صورة أشعة بسيطة تظهر وجود كسر في الأضلاع على الجهة اليسرى من القفص الصدري

استرواح أو تدمي الجنب أو كليهما (سوية سائلة هوائية).

علاج رضوض الأضلاع

قبول المريض في المشفى

يقبل المريض في المشفى في حالات:

  •  إيجابية الاستقصاءات مثل صورة الصدر البسيطة CXR.
  • إيجابية الصورة السريرية حتى لو كانت CXR سلبية، وخصوصا ذوي الأمراض الصدرية المزمنة كال COPD حيث يزداد احتمال انكسار المعارضة لديهم في حال وجود كسر أضلاع 
  • أن يكون المريض كبير السن . 
  • حدوث اختلاطات مبكرة أو متأخرة الكشف عند المراقبة: مثل الصمات الدهنية، وقد تظهر الاختلاطات مباشرة أو بعد فترة يوم من حدوث الرض أو حتى بعد أسبوعين. 

معالجة الكسور البسيطة

 المسكنات: بالطريق الجهازي مع تجنب استخدام المورفين لأنه يثبط مركز التنفس.

تخضيب الأعصاب الوربية:

  • يتم حقن المخدرات الموضعية حيث يستخدم عادة اليدوكائين 2% (أو الكسايلوكائين Xylocaine الذي يتميز بأن تأثيره سريع ولكن فترة تأثيره قصيرة). 
  • يتم الحقن عادة خلف منطقة الكسر عند الزاوية الخلفية للضلع (عند ثلمة العنق) وعلى الحافة السفلية. 
  • يتم تخضيب الضلع المصاب مع ضلع فوقه وضلع تحته. 
  • تعتبر هذه الطريقة جيدة جدا لتسكين الألم وخاصة إذا كان المريض متهيجة، كما أنها لا تؤثر على مركز السعال والتنفس.
  • يتم التخدير لأكثر من ساعتين وهي مدة كافة الإجراء الإسعافات. 

التسكين فوق الجافية: 

تتم بحقن أحد مشتقات المورفين (بيثيدين ، فورتوین ، بنتالجينا ، …) في المسافة فوق الجافية من خلال إيرة بين النتوءين الشوكيين (وقد نضع قثطار للجرعات اللاحقة). تذكر المراجع أن استخدام المورفين ومشتقاته مسموح لكن الطرق الأخرى أفضل. 

 لا تؤثر هذه الطريقة على حركات التنفس ومنعكس السعال بشكل كبير، ومع ذلك يجب مراقبة المريض خشية حصول التثبيط التنفسي لديه (وإن كان قليل الحدوث). 

تستخدم طرق التسكين السابقة على الشكل التالي:

  • كيبر يسيط: مسكنات بالطريق الجهازي PO IV
  • کسر شديد أو متوسط الشدة: تخضيب الأعصاب الوربية. 
  • كسير شديد جدا: تسكين فوق الجافية. 
  • بعد الجراحة على الصدر نميل لعدم إعطاء مسكنات بالطريق العام وإنما بالطرق الأخرى حتى لا يحدث تثبيط للسعال. 
  • إن تخدير الأعصاب الوربية طريقة جيدة ولكنها تحتاج للتكرار لذلك غالبا ما تستعمل في الكسر الواحد.

 Rib Fracture

Skeletal Trauma: Basic Science, Management, and Reconstruction

Scroll to Top